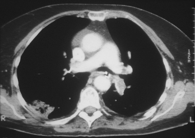
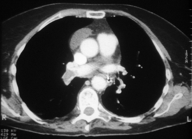
EMBOLIA PULMONAR

Cóagulos observados por Tomografía Computarizada
 
 
Volver al Texto