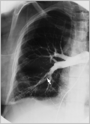
EMBOLIA PULMONAR

ARTERIOGRAFIA PULMONAR

Defectos intraluminales de llenado

Volver al texto